Ta historia brzmi nieprawdopodobnie ale jest prawdziwa. Po 18 latach z nosa mężczyzny lekarze wydobyli balon z marihuaną. Przemyciła go do więzienia dziewczyna osadzonego. Mężczyzna włożył konopny balon do prawej dziurki nosa tak głęboko, że nie umiał go potem wyciągnąć. Ten niecodzienny przypadek medyczny opisał British Medical Journal. 48-letni mężczyzna zgłosił się z bólem głowy …
Przez 18 lat miał w nosie marihuanę przemyconą do więzienia!

Ta historia brzmi nieprawdopodobnie ale jest prawdziwa. Po 18 latach z nosa mężczyzny lekarze wydobyli balon z marihuaną. Przemyciła go do więzienia dziewczyna osadzonego. Mężczyzna włożył konopny balon do prawej dziurki nosa tak głęboko, że nie umiał go potem wyciągnąć. Ten niecodzienny przypadek medyczny opisał British Medical Journal.
48-letni mężczyzna zgłosił się z bólem głowy do szpitala w Sydney (Australia). W trakcie rozmowy z lekarzem przyznał, że od wielu lat ma uczucie zatkanego nosa i cierpi na nawracające infekcje.
Po przeprowadzeniu badań okazało się, że w jego nosie tkwi przedmiot w kształcie gumowej kapsułki, którą wypełniała… marihuana. Wówczas pacjent opowiedział lekarzom historię sprzed 18 lat. 
Przyniesioną przez jego dziewczynę marihuanę w baloniku włożył do prawego nozdrza tak głęboko, że nie umiał jej potem wyciągnąć. Wydawało mu się wówczas, że drobny upominek od ukochanej wpadł mu potem do gardła i został przez niego połknięty.
Konopna skamieniałość…
Balon z marihuaną nie został jednak połknięty. W ciągu następnych 18 lat opakowanie przekształciło się w rhinolit. To coś w rodzaju kamienia, który tworzy się wokół ciała obcego w jamie nosowej poprzez stopniowe osadzanie się soli wapnia i magnezu.
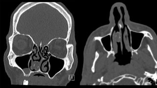
„48-letni mężczyzna został skierowany do Departamentu laryngologii Westmead po tym, jak tomografia komputerowa mózgu, pierwotnie wykonana z powodu bólu głowy, wykazała zwapnienie o wymiarach 19×11 mm w prawej jamie nosowej” – można przeczytać w raporcie opublikowanym przez lekarzy z Westmead Hospital w Sydney.
Trzy miesiące po usunięciu ciała obcego 48 latek przestał odczuwać dyskomfort. Nawracające infekcje ustały. Naukowcy potwierdzają, że jest to pierwszy opisany przypadek „nabytego w więzieniu rhinolitu na bazie marihuany”.




